Os cuidados bucais frequentemente caem em descuido com a correria da vida.
Nesse meio tempo, as coisas saem um pouco do controle e aparece uma inflamação aqui, uma dorzinha ali. E a clássica gengivite!
Causada pela placa bacteriana, a gengivite se caracteriza por ser uma fina película que adere à superfície dos dentes e deposita-se no sulco gengival
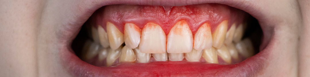
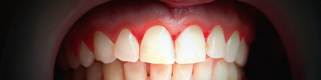
Contudo, a inflamação possui vários estágios, e pode ocasionar, sim, maiores complicações. Se você está notando uma vermelhidão na sua gengiva ou anda pecando na sua higiene bucal, é bem provável que esteja com gengivite.
Confira esse artigo para descobrir qual o estágio e o tratamento.
O que é Gengivite?
A gengivite é uma condição inflamatória da gengiva, que é a mucosa que reveste os dentes. Bem como, a inflamação é causada pela presença de placa bacteriana, que é uma película pegajosa de bactérias e restos de alimentos que se acumulam nos dentes e gengivas.
Se não for removida com a escovação e o uso do fio dental diariamente, a placa bacteriana pode irritar a gengiva e causar inflamação.
Nesse sentido, no estágio inicial da doença, o osso e o tecido alveolar onde se fixam os dentes não são afetados.
Entretanto, se a higiene bucal continuar sendo negligenciada a gengivite pode evoluir para a periodontite, uma forma mais grave da doença que compromete todos os tecidos ao redor do dente. Podendo ocasionar a perda dos dentes.
Nesses casos, a inflamação da gengiva progride e determinadas substâncias presentes na saliva fixam-se na placa bacteriana intensificando o processo inflamatório e criando condições favoráveis para a formação da bolsa periodontal, que afasta a gengiva dos dentes, favorece a contaminação por bactérias e o desenvolvimento de tártaro (cálculo gengival).
Assim, podendo levar a uma complicação grave da periodontite, a endocardite bacteriana. Onde, estudos mostram que as bactérias instaladas nas bolsas periodontais podem disseminar-se na corrente sanguínea, alojar-se nas válvulas cardíacas e comprometer a circulação do sangue e o funcionamento do coração.

Quais as causas da gengivite?
A causa mais comum da gengivite, é sem sombra de dúvidas, a falta de higiene bucal adequada! Esse mau hábito, permite o acúmulo da placa bacteriana nos dentes e na gengiva.
Em contrapartida, existem outras causas possíveis. Como a má oclusão, tártaro, cáries, ausência de restaurações, baixa produção de saliva, cigarro, certos medicamentos e a exposição a metais pesados, por exemplo, o chumbo e o bismuto.

Entretanto, episódios de gengivite que se instalam durante períodos como puberdade, menstruação, na gravidez e menopausa são provavelmente explicados por alterações hormonais. Por isso, exigem acompanhamento odontológico e cuidados de higiene bucal especiais e redobrados.
Ainda sim, a gengivite pode ser uma manifestação associada a doenças, como herpes labial, diabetes, epilepsia, aids, leucemia, hipovitaminose, ou ser provocada por reação alérgica.

Qual o tratamento para gengivite?
O tratamento da gengivite trata-se do controle da infecção e a remoção do tártaro.
Isto é, da placa bacteriana endurecida que separa a gengiva dos dentes.
Dessa maneira, é feita uma raspagem acima e abaixo do contorno da gengiva .
Para isso, é utilizado ultrassom ou aplicado um spray com líquido composto por alguns sais.
Após a raspagem é feito o alisamento da raiz e polimento dos dentes para eliminar os focos de infecção.

Dicas para manter a saúde bucal em dia
- Boa escovação e o uso do fio dental são essenciais para manter a saúde bucal;
- Monitore a escovação dos dentes das crianças pequenas.
- Evite alimentos e bebidas doces, especialmente se não tiver a chance de escovar logo os dentes;
- Escove sempre os dentes antes de deitar, mesmo que já os tenha escovado depois das refeições;
- O cigarro é um grande inimigo para a gengiva e os dentes;
- Vá ao dentista regularmente e sempre que notar mudanças no aspecto de sua gengiva.

A Rota seguros conta com as melhores operadoras de planos odontológicos com inúmeras coberturas, clica aqui e converse com um de nossos consultores e contrate o melhor plano para manter sua saúde bucal em dia .